‘Een van de beste dingen die mij is overkomen’
Christian had zich er eigenlijk al bij neergelegd. Door jarenlange slijtage van zijn gebit verwachtte hij dat een kunstgebit onvermijdelijk zou worden. “Ik dacht: als ik ergens last van krijg, laat ik het eruit trekken en dan werk ik wel toe naar een kunstgebit.” Tot hij bij tandarts Melis terechtkwam en een heel ander advies kreeg.
Ideale tandartspraktijk
Christian kwam de praktijk op het spoor via de lokale krant. “Deze nieuwe praktijk in Brakel had ik nog niet gezien, maar mijn aandacht werd erop gevestigd door een artikel in de krant en bij mijn vorige tandarts was ik niet echt tevreden.” Hij besloot over te stappen, al snel na de start van de praktijk. Die keuze voelde meteen goed. “De praktijk zag er professioneel, hygiënisch en nieuw uit”, vertelt hij. Ook de bereikbaarheid, in Brakel, speelde mee. “Deze tandartspraktijk leek voor mij direct al ideaal.”
Tandarts biedt de oplossing bij ernstige slijtage
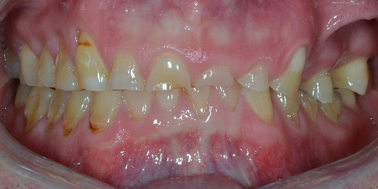
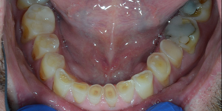
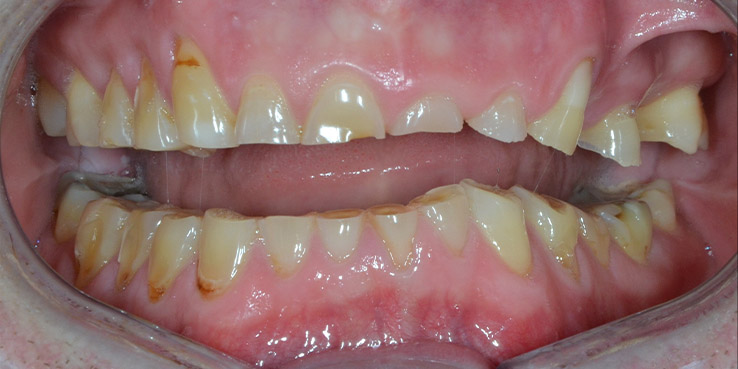
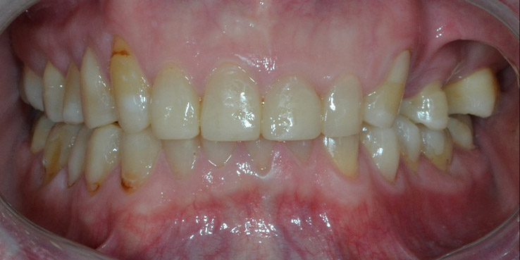
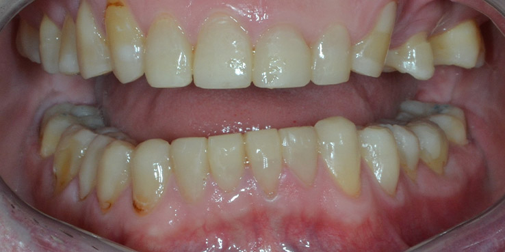
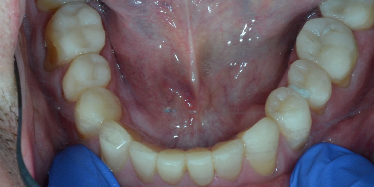
Door erosie, onder andere door frisdrankgebruik, was zijn gebit sterk afgesleten. “Dat was zelfs zo ver gegaan dat de zenuwen nagenoeg bloot lagen.” Regelmatig had Christian last van kiespijn en bloedingen. In plaats van de route naar een kunstgebit voor te zetten, kreeg hij bij tandarts Melis een alternatief voorgesteld. “Met behulp van composietopbouw heeft de tandarts mijn tanden opnieuw opgebouwd.”
Pijnloze behandeling in de tandartspraktijk in Brakel
De gebitsrenovatie werd uitgevoerd in twee sessies van elk vier uur. “Het is wel even een paar uur in de stoel liggen, maar het resultaat is geweldig.” De behandeling zelf bleek bovendien verrassend goed vol te houden. “Ik heb bijna geen pijn gehad. Alleen bij enkele kiezen met vrijwel blootliggende zenuwen was plaatselijke verdoving nodig.”
Vertrouwen in tandarts Melis
Dat hij deze behandeling aandurfde, kwam vooral door de manier waarop de tandarts hem meenam in het proces. “Van tevoren zijn er foto’s gemaakt en kreeg ik duidelijke uitleg.” De tandarts liet zelfs voorbeelden zien van het gebit van iemand die dezelfde behandeling had gehad. Dat maakte het concreet. “De uitleg schepte bij mij vrij snel genoeg vertrouwen om ermee door te gaan.”
Vakkundige, persoonlijke, doelgerichte tandarts
Christian is tevreden. “Tandarts Melis is vakkundig, persoonlijk en doelgericht. En ook het team is professioneel en enthousiast.” En over de gebitsrenovatie: “Dit is een van de beste dingen die mij is overkomen.”
Situatie voor de behandeling
Situatie na de behandeling
Nieuwe patiënten zijn welkom
Zoek je een professionele en persoonlijke tandarts? Ook als nieuwe patiënt ben je welkom bij Tandarts Melis.
Er is geen wachtlijst.
Plan je afspraak online
Een afspraak plannen voor je periodieke controle kan aan de balie in de praktijk, telefonisch of online.
We zijn vijf dagen per week geopend.

